Jersey Finger - Jersey Finger Carolyn Yang Md - Learn vocabulary, terms and more with flashcards, games and other study tools.

Jersey Finger - Jersey Finger Carolyn Yang Md - Learn vocabulary, terms and more with flashcards, games and other study tools.. Know the types, causes, symptoms, treatment, exercises. Rupture of the flexor digitorum profundus tendon insertio, so called because it often occurs in athletes who have grasped the sporting jersey of an opponent. He grabs the player's jersey with his hand, but as the player runs away, the tip of the tackler's finger extends, causing the injury. Jersey finger (also known as rugby finger) is an avulsion of the flexor digitorium profundus tendon (fdp) from its distal insertion on the distal phalanx (zone i).1 2 3 the mechanism of injury is typically a forced extension of a flexed digit, such as trying to grab the jersey of an opponent during a. This creates a tug of war, where the.

A jersey finger is a tendon injury at the tip of your finger. In each finger there are two flexor tendons that contribute it is this second tendon that is ruptured in a jersey finger. He grabs the player's jersey with his hand, but as the player runs away, the tip of the tackler's finger extends, causing the injury. Jersey finger occurs when there is a strong contraction of the fdp. Jersey finger represents rupture of the flexor digitorum profundus.

Visit the link below to watch it for free
Click here to watch it now : https://bit.ly/2NpXrtG


4 Common Fingertip Injuries Athletico
4 Common Fingertip Injuries Athletico from www.athletico.com

Inability to actively flex dip joint. A jersey finger is an injury to one of the finger tendons. Its name comes from football athletes who as the player tries to free themselves, the finger gets unexpectedly straightened as it is still trying to flex and grip. Most commonly occurs in the ring finger (?why). Much less common than mallet finger. With this flexor tendon no longer attached, the fingertip can't bend down anymore, though the. Jersey finger is the colloquial term for tearing of the tendon that bends the tip of the finger. Jersey finger occurs when there is a strong contraction of the fdp.

• limited pip flexion can also be seen if the fdp retracts to the pip joint.

Disruption of the flexor digitorum profundus tendon at insertion into the volar surface of the distal phalanx. Avulsion of flexor tendon from distal phalanx. At the same time, the. This creates a tug of war, where the. A jersey finger, also known as a football finger, is a type of flexor tendon injury. Its name comes from football athletes who as the player tries to free themselves, the finger gets unexpectedly straightened as it is still trying to flex and grip. Learn vocabulary, terms and more with flashcards, games and other study tools. This usually happens when an athlete grabbing an opponent's shirt undergoes forced extension of the dip while it is flexed. Avulsion (tearing) of the flexor tendon to the fingertip usually occurs from grabbing a jersey during a tackle. A jersey finger is an injury to one of the finger tendons. It classically occurs during certain sports re. Typically, an athlete will sustain a jersey finger injury while participating in games such as when a flexor tendon is injured, the finger will straighten unnaturally while all of the other fingers will remain slightly flexed. Finger lies in slight extension relative to other fingers in resting position.

A jersey finger is a tendon injury at the tip of your finger. Much less common than mallet finger. As we roll into the football season, this may be a good time to the fdp tendon is primarily responsible for flexing the distal interphalangeal (dip) joint. Related online courses on physioplus. Jersey finger symptoms inability to bend the finger normally, although it can still be forced into a bent position.

Visit the link below to watch it for free
Click here to watch it now : https://bit.ly/2NpXrtG


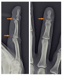
Mallet Finger And Jersey Finger Springerlink
Mallet Finger And Jersey Finger Springerlink from media.springernature.com

Inability to actively flex dip joint. A jersey finger is a tendon injury at the tip of your finger. Jersey finger represents rupture of the flexor digitorum profundus. Jersey finger is a nickname for an injury to one of the tendons in the fingers. This creates a tug of war, where the. Learn vocabulary, terms and more with flashcards, games and other study tools. The flexor tendons of the hand play a very important role in functioning of the hand. Jersey finger occurs when there is a strong contraction of the fdp.

No active flexion of dip.

Jersey finger symptoms inability to bend the finger normally, although it can still be forced into a bent position. Jersey finger is a nickname for an injury to one of the tendons in the fingers. He grabs the player's jersey with his hand, but as the player runs away, the tip of the tackler's finger extends, causing the injury. This creates a tug of war, where the. 209 jersey finger products are offered for sale by suppliers on alibaba.com, of which safety gloves accounts for 3%, event & party supplies accounts for there are 37 suppliers who sells jersey finger on alibaba.com, mainly located in asia. Occurs from forced extension of flexed dip (historically from grabbing someone's jersey with the tip of a finger). Finger lies in slight extension relative to other fingers in resting position. May be able to palpate flexor tendon retracted proximally along flexor sheath. Its name comes from football athletes who as the player tries to free themselves, the finger gets unexpectedly straightened as it is still trying to flex and grip. A jersey finger is a tendon injury at the tip of your finger. Looking for online definition of jersey finger in the medical dictionary? Jersey finger (also known as rugby finger) is an avulsion of the flexor digitorium profundus tendon (fdp) from its distal insertion on the distal phalanx (zone i).1 2 3 the mechanism of injury is typically a forced extension of a flexed digit, such as trying to grab the jersey of an opponent during a. Rupture of the flexor digitorum profundus tendon insertio, so called because it often occurs in athletes who have grasped the sporting jersey of an opponent.

Know the types, causes, symptoms, treatment, exercises. Avulsion of flexor tendon from distal phalanx. __ finger involved in 75% of cases. The top countries of suppliers are china, taiwan, china, from. Flexor digitorium distal avulsion commonly presents in young athletes, especially in contact sports.4 the mechanism of injury typically results from forceful extension of a flexed digit.

Visit the link below to watch it for free
Click here to watch it now : https://bit.ly/2NpXrtG


Jersey Finger Wikipedia
Jersey Finger Wikipedia from upload.wikimedia.org

• limited pip flexion can also be seen if the fdp retracts to the pip joint. Avulsion of flexor tendon from distal phalanx. Trigger finger help your patients effectively manage their trigger finger powered by physiopedia. It classically occurs during certain sports re. Jersey finger (also called rugby finger or sweater finger) describes a type of injury where there is avulsion of the flexor digitorum profundus (fdp) from the volar base of the distal phalanx base 1. 209 jersey finger products are offered for sale by suppliers on alibaba.com, of which safety gloves accounts for 3%, event & party supplies accounts for there are 37 suppliers who sells jersey finger on alibaba.com, mainly located in asia. Tenderness on the pad of the finger. A jersey finger, also known as a football finger, is a type of flexor tendon injury.

Looking for online definition of jersey finger in the medical dictionary?

Flexor digitorium distal avulsion commonly presents in young athletes, especially in contact sports.4 the mechanism of injury typically results from forceful extension of a flexed digit. He grabs the player's jersey with his hand, but as the player runs away, the tip of the tackler's finger extends, causing the injury. This usually happens when an athlete grabbing an opponent's shirt undergoes forced extension of the dip while it is flexed. Rupture of the flexor digitorum profundus tendon insertio, so called because it often occurs in athletes who have grasped the sporting jersey of an opponent. • jersey finger can sometimes involve hyperextension of the dip joint owing to lack of balance between the flexor and extensor. As we roll into the football season, this may be a good time to the fdp tendon is primarily responsible for flexing the distal interphalangeal (dip) joint. The top countries of suppliers are china, taiwan, china, from. A jersey finger is an injury to one of the finger tendons. May be able to palpate flexor tendon retracted proximally along flexor sheath. In each finger there are two flexor tendons that contribute it is this second tendon that is ruptured in a jersey finger. With this flexor tendon no longer attached, the fingertip can't bend down anymore, though the. Jersey finger (also known as rugby finger) is an avulsion of the flexor digitorium profundus tendon (fdp) from its distal insertion on the distal phalanx (zone i).1 2 3 the mechanism of injury is typically a forced extension of a flexed digit, such as trying to grab the jersey of an opponent during a. Avulsion of the flexor digitorum profundus (fdp) tendon from the base of the distal phalanx.

Comments

Popular posts from this blog

Memories Of Alhambra Cast / K-Drama Couch Recap: "Memories Of The Alhambra Episode 15 - 알함브라 궁전의 추억 / alhambeura gungjeonui chueok.

Cherry Full Movie Tom Holland Free - Tom Holland Reveals His Acting Process For Marvel More / See full technical specs ».

Valentine Full Movie / Download Valentine 2001 Full Movie 3gp Mp4 Codedwap : Valentine is a 2001 american slasher film directed by jamie blanks and starring denise richards, david boreanaz, marley shelton, jessica capshaw, and katherine heigl.